再生療法
再生療法には、主にGBR法とエムドゲイン法の2つがあります。
GBR [骨再生誘導療法]
GBRとは骨が失われた部分に人口骨や人骨を移植し骨の再生を図る治療法です。
インプラントをしたいけど、骨の量が足りない場合などにも行います。
GBRを行なう時は、PRPを使用します。

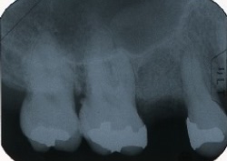
●黒く写っているのが上顎洞です。
このままでは、上顎洞までの距離が短く、インプラントができません。

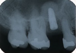
●人工骨を填入して骨を作ります。

●骨ができたら、インプラントの処置を行います。

●上顎洞までの距離が短く、このままではインプラントができません。

●インプラント周囲に骨を作る事によって、インプラントができます。
PRP [多血小板血漿]
PRPとは歯周組織再生療法の1つです。
PRPを使用する事によって血小板から成長因子が放出され、組織を再生させる細胞を活性化させる事によって、治療の促進、痛みの軽減などの効果があると言われており、PRPが完成するまで、GBRなどの処置を行う際は、PRPを使用しています。

①採血します。
②遠心分離機にかけて、濃縮した血小板の溶液をつくります。
③完成後のPRPです。
エムドゲイン [歯周組織再生療法]
歯周病などによって骨が失われた部分にエムドゲイン(歯が作られる際に分泌されるたんぱく質)を塗布し、再び骨を作って再生させる治療法です。

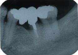
●骨が失われている所は、レントゲンを撮ると黒い影になって写ります。

●エムドゲイン塗布後、徐々に影が、うすくなってきています。

●影が無くなり、骨ができています。




